Skip to main content
Brandon Perio Clinic

Main navigation

  • About
  • Services
    • Examination
    • Periodontal Therapy
    • Home Care
    • Gum Grafting
    • Crown Lengthening
    • Gum Recontouring
    • Guided Tissue Regeneration
    • Guided Bone Regeneration
    • Dental Implants
    • Oral Cancer Screening
    • Digital X Rays
    • Cone Beam CT Scanning
  • Gallery
    • Surgical Tooth Exposure
    • Gum Grafting
    • Crown Lengthening
    • Gum Recontouring
    • Guided Tissue Regeneration
    • Dental Implants
  • Patient Information
    • FAQ
    • Forms & Instructions
    • Patient Survey
    • Testimonials
  • Education
    • Women & Periodontal Disease
    • Periodontal Disease & Cardiovascular Disease
    • Smoking & Periodontal Disease
    • Diabetes & Periodontal Disease
  • Blog
  • Referrals
  • Careers
  • Contact Us
Contact Us
For A Consultation P:
204-726-1211

Dental Implants

Breadcrumb

  1. Home
  2. Photo Gallery
  3. Dental Implants
Dental Implant

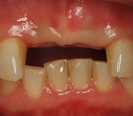
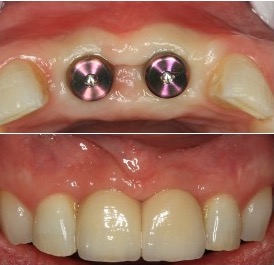
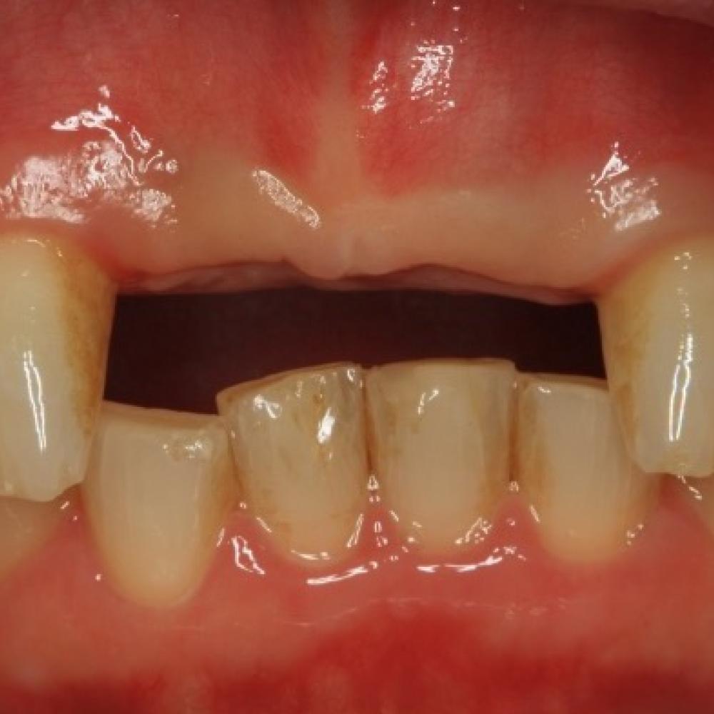
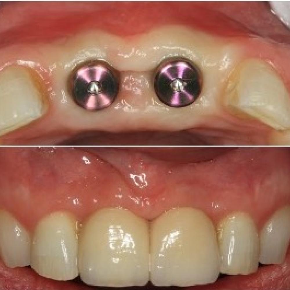
Implants for Front Teeth

Before

Anterior Dental Implants

After

Anterior Dental Implants

Sinus Lift and Implant

Before

Sinus Lift

After

Sinus Lift

Book Your Next Appointment Today

For a Consultation, No Referral Necessary
info@brandonperio.com
204-726-1211

Address

1100 Richmond Ave. Unit B
Brandon, MB, R7A 1M6
Get Directions

Contact

Phone: (204) 726-1211
Fax: (204) 571-1560
Email: info@brandonperio.com

Hours

Tuesday - Friday: 8:30am - 4:30pm
Monday: 8:00 am - 4:00 pm (admin)
Saturday - Sunday: Closed

Information

Contact us today to book an appointment
Book Today
 

© 2025 Brandon Perio Clinic
Winnipeg Web Design By Verda Design
Brandon Perio Clinic

Main navigation

  • About
  • Services
    • Examination
    • Periodontal Therapy
    • Home Care
    • Gum Grafting
    • Crown Lengthening
    • Gum Recontouring
    • Guided Tissue Regeneration
    • Guided Bone Regeneration
    • Dental Implants
    • Oral Cancer Screening
    • Digital X Rays
    • Cone Beam CT Scanning
  • Gallery
    • Surgical Tooth Exposure
    • Gum Grafting
    • Crown Lengthening
    • Gum Recontouring
    • Guided Tissue Regeneration
    • Dental Implants
  • Patient Information
    • FAQ
    • Forms & Instructions
    • Patient Survey
    • Testimonials
  • Education
    • Women & Periodontal Disease
    • Periodontal Disease & Cardiovascular Disease
    • Smoking & Periodontal Disease
    • Diabetes & Periodontal Disease
  • Blog
  • Referrals
  • Careers
  • Contact Us
Work With Us