Skip to main content
Brandon Perio Clinic

Main navigation

  • About
  • Services
    • Examination
    • Periodontal Therapy
    • Home Care
    • Gum Grafting
    • Crown Lengthening
    • Gum Recontouring
    • Guided Tissue Regeneration
    • Guided Bone Regeneration
    • Dental Implants
    • Oral Cancer Screening
    • Digital X Rays
    • Cone Beam CT Scanning
  • Gallery
    • Surgical Tooth Exposure
    • Gum Grafting
    • Crown Lengthening
    • Gum Recontouring
    • Guided Tissue Regeneration
    • Dental Implants
  • Patient Information
    • FAQ
    • Forms & Instructions
    • Patient Survey
    • Testimonials
  • Education
    • Women & Periodontal Disease
    • Periodontal Disease & Cardiovascular Disease
    • Smoking & Periodontal Disease
    • Diabetes & Periodontal Disease
  • Blog
  • Referrals
  • Careers
  • Contact Us
Contact Us
For A Consultation P:
204-726-1211

Crown Lengthening

Breadcrumb

  1. Home
  2. Photo Gallery
  3. Crown Lengthening
Crown lengthening

Crown Lengthening

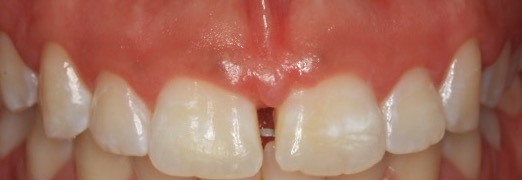
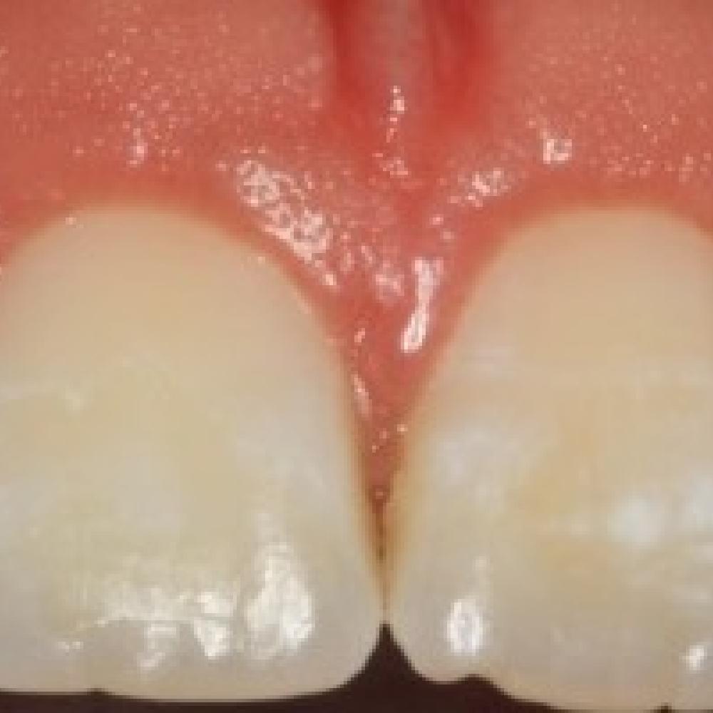
Before

Crown Lengthening

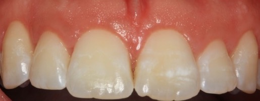
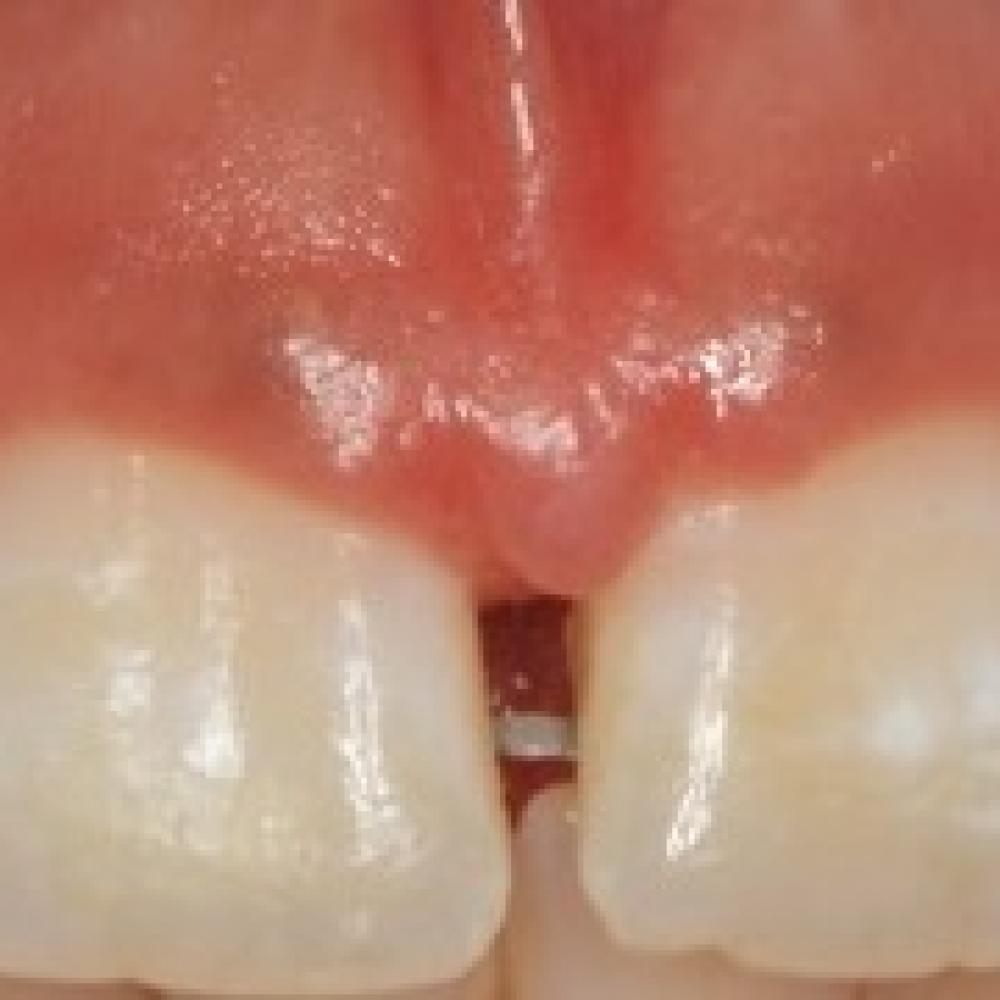
After

Crown Lengthening

Book Your Next Appointment Today

For a Consultation, No Referral Necessary
info@brandonperio.com
204-726-1211

Address

1100 Richmond Ave. Unit B
Brandon, MB, R7A 1M6
Get Directions

Contact

Phone: (204) 726-1211
Fax: (204) 571-1560
Email: info@brandonperio.com

Hours

Tuesday - Friday: 8:30am - 4:30pm
Monday: 8:00 am - 4:00 pm (admin)
Saturday - Sunday: Closed

Information

Contact us today to book an appointment
Book Today
 

© 2026 Brandon Perio Clinic
Winnipeg Web Design By Verda Design
Brandon Perio Clinic

Main navigation

  • About
  • Services
    • Examination
    • Periodontal Therapy
    • Home Care
    • Gum Grafting
    • Crown Lengthening
    • Gum Recontouring
    • Guided Tissue Regeneration
    • Guided Bone Regeneration
    • Dental Implants
    • Oral Cancer Screening
    • Digital X Rays
    • Cone Beam CT Scanning
  • Gallery
    • Surgical Tooth Exposure
    • Gum Grafting
    • Crown Lengthening
    • Gum Recontouring
    • Guided Tissue Regeneration
    • Dental Implants
  • Patient Information
    • FAQ
    • Forms & Instructions
    • Patient Survey
    • Testimonials
  • Education
    • Women & Periodontal Disease
    • Periodontal Disease & Cardiovascular Disease
    • Smoking & Periodontal Disease
    • Diabetes & Periodontal Disease
  • Blog
  • Referrals
  • Careers
  • Contact Us
Work With Us